090-7868-2727
ニキビケア専門サロン LUNAティアラ ニキビ・跡・肌トラブルに悩むあなたへ”独自LUNAメソッド”で肌質を根本から整える専門サロン。根本原因を突き止めもう悩まない肌へ
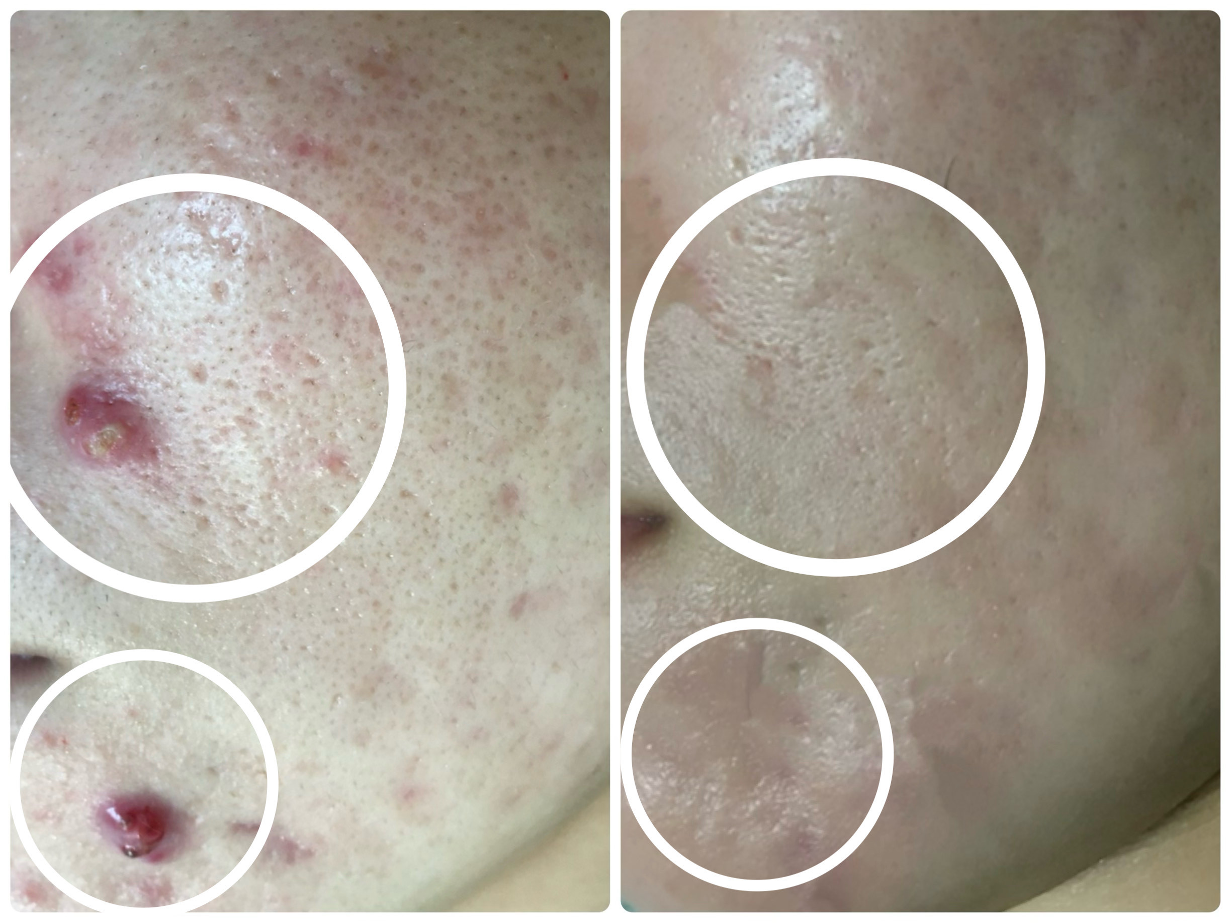
ニキビ体質検査や肌の菌バランス検査で原因解析できます。
検査機関(複雑な体質の方※要相談)
美は未来の貴方の輝き☆彡 LUNAティアラ
トップページ
店舗情報
ご予約
写真
ニキビ・ビフォ・アフター(9)
メンズ/ビフォー・アフター(3)
背中ニキビ/ビフォ・ー・アフター(2)
東京ウォブクリニック・美容皮膚科ディプロマ(1)
スッキリ小顔革命(肌質改善ケア)(1)
女性誌arに掲載されました(1)
女性誌CREA掲載されました。(1)
ティアラ(1)
Welcamサービス(1)
カウンセリング(1)
ロミロミホットストーン(1)
ハワイアンロミロミ(9)
フェイシャル(3)
ヘッドマッサージ・脳内セラピー(3)
ロミロミデトックススリム お腹・ウエストくびれ(1)
ロミロミデトックススリム 美脚(1)
アロマトリートメント(1)
スタッフ(1)
リラクゼーション(1)
メニュー
お問い合わせ
クーポン
インフォメーション
スタッフ紹介
お客様の声 フェイシャル にきび・小顔・美白・エイジング
お客様の声 ハワイアンロミロミ
初めての方へ
肌の悩みを自信と輝きに変える場所へ
ブログ
サロン道のり
写真
ニキビ・ビフォ・アフター
メンズ/ビフォー・アフター
背中ニキビ/ビフォ・ー・アフター
東京ウォブクリニック・美容皮膚科ディプロマ
スッキリ小顔革命(肌質改善ケア)
1
2
3
4
»
Schedule
2026.04.16 Thursday
Counter
Today:
30
Yesterday:
58
Total:
76909
Mobile